
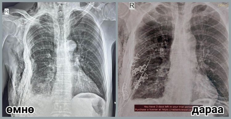
Гэмтэл согог судлалын үндэсний төвийн Хавсарсан гэмтлийн тасгийн эрхлэгч, их эмч П.Баярсайхан, мэс заслын их эмч С.Мөнхлхагва, резидэнт эмч Д.Мөнхзул, Мэс заслын нэгдсэн тасгийн сувилагч Б.Алтанцоож, жолооч С.Бүрэнтөгс нарын баг энэ сарын 09-ний өдөр алсын дуудлагаар Булган аймагт ажиллаж, цээжний хөндийн хүнд гэмтэлтэй өвчтөнд мэс заслын яаралтай тусламж үзүүллээ.
Тодруулбал, ГССҮТ-ийн мэс заслын баг бүрэлдэхүүн аймгийн нэгдсэн эмнэлгийн гэмтлийн их эмч Д.Алтангэрэл, мэс заслын их эмч Н.Энхжаргал, мэдээгүйжүүлгийн их эмч Т.Батдорж, мэс заслын сувилагч С.Ганчимэг, мэдээгүйжүүлгийн сувилагч Х.Хандсүрэн нартай хамтран мориноос унаж гэмтсэн өвчтөний хавирганы тогтворгүй хугарлыг бэхлэх мэс заслыг амжилттай хийсэн байна.
Өвчтөний биеийн байдал сайжирч, тогтвортой байгаа бөгөөд өдгөө аймгийн нэгдсэн эмнэлэгт мэс заслын дараах эмчилгээ хийлгэж байгаа аж.
ГССҮТ-ийн мэс заслын баг сүүлийн таван жилийн хугацаанд цээжний хөндийн битүү гэмтэл буюу хавирганы тогтворгүй хугарлыг бэхлэх мэс заслыг орон нутагт нутагшуулах замаар нийт 21 аймагт ажиллаж байна.
